鹿児島認知症ブログ

鹿児島でコウノメソッドや糖質制限を実践している脳神経外科医のブログ

2019-04-15から1日間の記事一覧

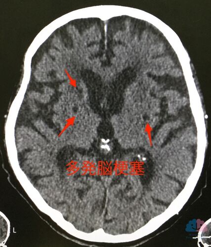
【症例報告】突然せん妄を起こした90代の男性に行った治療。

1ヶ月前のある日の夜から突然、おかしなことを言いながら毎晩家の中を膝行って徘徊するようになった90代の男性MTさん。 頭部CTを行ったところ、脳梗塞痕を多数認めた。