鹿児島認知症ブログ

鹿児島でコウノメソッドや糖質制限を実践している脳神経外科医のブログ

2015-07-18から1日間の記事一覧

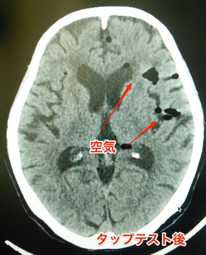
タップテスト(髄液排除試験)後に頭痛の訴えあり。何が起きたのか?

タップテスト(髄液排除試験)とは? タップテストとは、腰椎穿刺(腰椎の隙間から針を差し込む検査)を行い、脳脊髄液を採取する検査のことである。 髄膜炎や神経変性疾患が疑われる場合に行われるが、正常圧水頭症が疑われる場合には、脳脊髄液を抜いて症状が…