鹿児島認知症ブログ

鹿児島でコウノメソッドや糖質制限を実践している脳神経外科医のブログ

2017-09-08から1日間の記事一覧

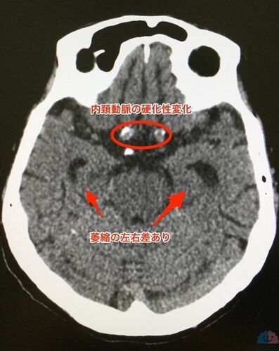
どちらも長谷川式テスト22点だが、対象的な87歳。

支える人が周囲にいるのかどうか。いるならば、その人達に何をお願いすべきか。いなければ、どのように支援体制を構築していけばよいのか。薬は必要なのか。必要でないならば、どのようにして病院とのつながりを保てばよいのか。薬が必要なら、その量や内服回数はどの…